18 months and alls well
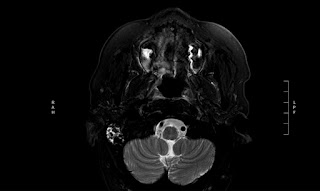
So. It’s not surprising that there is some weird shit going on in my brain. Check out the images from todays mri and CT.
Says I could have temporal lobe necrosis with edema which would explain recent memory difficulty
Dysfunction in the temporal lobe may cause dysfunction in the mind.






Comments
Post a Comment